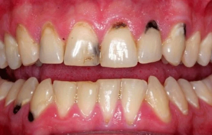
cach-khac-phuc-tinh-trang-rang-co-vet-den-hieu-qua-thumb Được xuất bản vào 27/12/2023 tại 700 × 447 trong cach-khac-phuc-tinh-trang-rang-co-vet-den-hieu-qua-thumb ← Trước Tiếp theo →